C5 Hidden Orthodontics in Richmond, Midlothian, Chesterfield, & Surrounding

The completely invisible, comfortable, and convenient way to straighten your teeth.

 

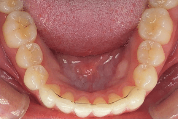
WHAT IS C5 HIDDEN ORTHODONTICS?

ProWire-Image-Case-Completed_600x400
  • Invisible
  • Comfortable
  • Effective

C5 Hidden Orthodontics is a revolutionary new option that uses only ultra-thin wires bonded to the back of your teeth. Unlike braces or aligners, there are no visible brackets and no trays to manage. Patients love that C5 is so comfortable, they often forget it’s even there.

WHAT MAKES C5 DIFFERENT?

Typical

C5

Traditional Braces: Noticeable brackets and wires can feel bulky and make patients self-conscious.

C5 Difference: Wires are completely concealed behind the teeth for invisible treatment.

Clear Aligners:Require removing trays every time you eat or drink and frequent brushing before reinsertion.

C5 Difference: Fixed in place with no maintenance beyond brushing as usual.

Lingual Braces: Brackets can trap food and irritate the tongue.

C5 Difference: Smooth wires, no bulky brackets, and unparalleled comfort.

WHAT MAKES C5 DIFFERENT?

Typical

Traditional Braces: Noticeable brackets and wires can feel bulky and make patients self-conscious.

C5

C5 Difference: Wires are completely concealed behind the teeth for invisible treatment.

Typical

Clear Aligners:Require removing trays every time you eat or drink and frequent brushing before reinsertion.

C5

C5 Difference: Fixed in place with no maintenance beyond brushing as usual.

Typical

Lingual Braces: Brackets can trap food and irritate the tongue.

C5

C5 Difference: Smooth wires, no bulky brackets, and unparalleled comfort.

HOW DOES C5 WORK?

  • Ultra-Thin Wires: About the width of a hair, customized to your anatomy.

  • Strategic Placement: Bonded discreetly behind your teeth to guide movement.

  • Adjustment Visits: Return every 7–8 weeks for repositioning as your smile progresses.

  • Remote Monitoring: Use AI-powered technology for progress tracking between visits — fewer office trips, more convenience.

c5 (1)

BEFORE & AFTER RESULTS

See the Transformations

From subtle improvements to dramatic changes, C5 makes it possible to achieve a confident smile without anyone knowing you’re in treatment.

WHO IS A CANDIDATE?

brandermill-1

C5 is designed for:

  • Teens who want a hidden alternative to braces.

  • Adults seeking discreet orthodontic care.

  • Simple to complex cases — C5 adapts to a wide range of needs.

YOUR FIRST STEP AT DABNEY ORTHODONTICS

Here’s what to expect when you begin your C5 journey:
  • number-one (1)

    Complimentary Consultation

    Discuss your goals and smile concerns with our team.

  • number-2 (1)

    3D Digital Scan

    Capture exact models of your teeth for personalized planning.

  • number-3 (1)

    Bonding Appointment

    Place wires comfortably behind your teeth.

  • number-four (1)

    Smile Progress

    Check in every 7–8 weeks with both in-office and digital monitoring.

     

BENEFITS OF C5 HIDDEN ORTHODONTICS

C5: Unique Benefits Beyond Conventional Methods

  • Completely hidden — even while talking or laughing

  • Achieve results in as little as 3–12 months

  • Speak naturally with no lisping

  • Easy to maintain — brush and floss as usual

  • No trays, no adjustments between visits

  • Comfortable — smooth wires with no bulky brackets

Frequently Asked Questions (FAQ)

Does C5 Hidden Orthodontics hurt?
How is C5 different from Invisalign or clear aligners?
How long does C5 treatment take?
Can I speak normally with C5 wires behind my teeth?
Am I a candidate for C5 Hidden Orthodontics?
How much does C5 cost?
Where can I get C5 in Virginia?

START YOUR C5 JOURNEY TODAY

At Dabney Orthodontics, we’re proud to be one of the first practices in Richmond, Midlothian, Chesterfield, and surrounding counties, VA to offer C5 Hidden Orthodontics. Whether you’re a teen o

📅 Schedule your complimentary C5 consultation today and discover the orthodontic future: hidden, comfortable, and effective.